방학삼성정형외과는 척추ㆍ관절 전문가
정형외과 전문의가 진료합니다.

대표번호

02.955.7588

  • 평일야간

    오전 09:00 ~ 오후 08:00

  • 점심시간

    오후 01:30 ~ 오후 02:30

  • 토요일

    오전 09:00 ~ 오후 03:00

※ 토요일은 점심시간 없이 진료합니다.
※ 더 나은 진료를 위해 일요일은 휴진합니다.

척추측만증 교정이란?

만병의 원인, 휘어진 척추

잘못된 자세 또는 특발성 측만증으로 인해 휘어진 척추는
근골격의 틀어짐과 불균형을 유발하여 인체 전반에 나타나는
다양한 통증의 원인이 됩니다.
방학삼성정형외과에서는 척추측만증에 특화된 도수교정
프로그램을 운영하여 측만증의 진행을 막고 정상으로
회복될 수 있도록 도와드립니다.

Treatment Process 방학삼성정형외과
척추측만증 교정 과정

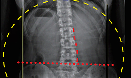
  • 1방사선 촬영 검사

    전신 척추 X-ray 촬영으로
    골격 불균형 평가

  • 2신체 계측 검사

    정적자세, 동적움직임 평가

  • 3치료계획 수립

    정형외과 전문의 치료계획

  • 4특수 도수치료 시행

    척추측만증 맞춤형 도수치료 시행

  • 5움직임 교정

    올바른 자세를 위한 생활습관 교정

  • 6자기주도적 움직임 교육

    바른자세 유지를 위한 교육

Before & After 척추측만증 교정 사례

  • 30대 직장인

    치료기간 3개월

    BEFORE

    AFTER

  • 10대 학생

    치료기간 1.5개월

    BEFORE

    AFTER

.